Paga tus tratamientos hasta 12 cuotas sin interés
Reembolso disponible con seguros de salud
Financiamiento para afiliados Caja Los Andes
Ortodoncia CDV
Ortodoncia estética

Una sonrisa que no te dé vergüenza mostrar.

Corregimos la posición de tus dientes con tratamientos de ortodoncia adaptados a ti y a tu estilo de vida.

Agenda tu evaluación gratuita

¿Te identificas con alguna de estas situaciones?

Muchas veces la ortodoncia no parte por estética. Parte por cómo te sientes al sonreír.

Te tapas la boca cuando te ríes

Evitas las fotos o sales con la boca cerrada

Sientes que tus dientes afectan tu confianza

Querías corregirlo hace tiempo, pero no sabías por dónde empezar

Si respondiste que sí a alguna, no estás solo.

Muchos adultos conviven con esto durante años sin saber que tiene solución.

La ortodoncia no es solo estética.
Es calidad de vida.

Corregir la posición de tus dientes mejora cómo te ves, cómo muerdes y cómo te sientes en tu día a día.

Mejora la estética de tu sonrisa

Corrige la mordida y el alineamiento

Existen opciones para distintos estilos y casos

El primer paso es una evaluación. Nada más.

¿Qué tipo de ortodoncia es para ti?

Existen distintas opciones según tu caso, tu estilo y lo que buscas en tu tratamiento.

Ortodoncia Convencional Metálica

Ortodoncia Convencional Metálica

La opción más completa y accesible.

Ideal para corregir desde casos simples hasta los más complejos.

Los brackets metálicos son resistentes, efectivos y más económicos.

Ortodoncia Estética

Ortodoncia Estética

Para quienes prefieren mayor discreción.

Los brackets cerámicos se integran mejor al color del diente y son menos notorios en el día a día.

Porque el precio no debería ser el motivo para no empezar.

Tenemos opciones de pago pensadas para que puedas iniciar tu tratamiento sin complicaciones.

Hasta 12 cuotas sin interés

Financiamiento para afiliados y pensionados de Caja Los Andes

Reembolso en línea si tienes seguro dental

Pago online disponible

Agendamiento 24/7, cuando tú puedas

En tu evaluación gratuita te explicamos todas las alternativas según tu caso.

Agenda tu evaluación gratuita

Así funciona tu tratamiento, paso a paso

1

Evaluación gratuita

Revisamos tu caso, te explicamos las opciones y resolvemos todas tus dudas. Sin costo y sin compromiso.

2

Diagnóstico personalizado

Analizamos radiografías y definimos el plan de tratamiento ideal para ti.

3

Inicio del tratamiento

Colocamos tu aparato y comenzamos. Te explicamos todo lo que necesitas saber para adaptarte rápido.

4

Controles y seguimiento

Tendrás controles periódicos para asegurarnos de que todo avanza correctamente.

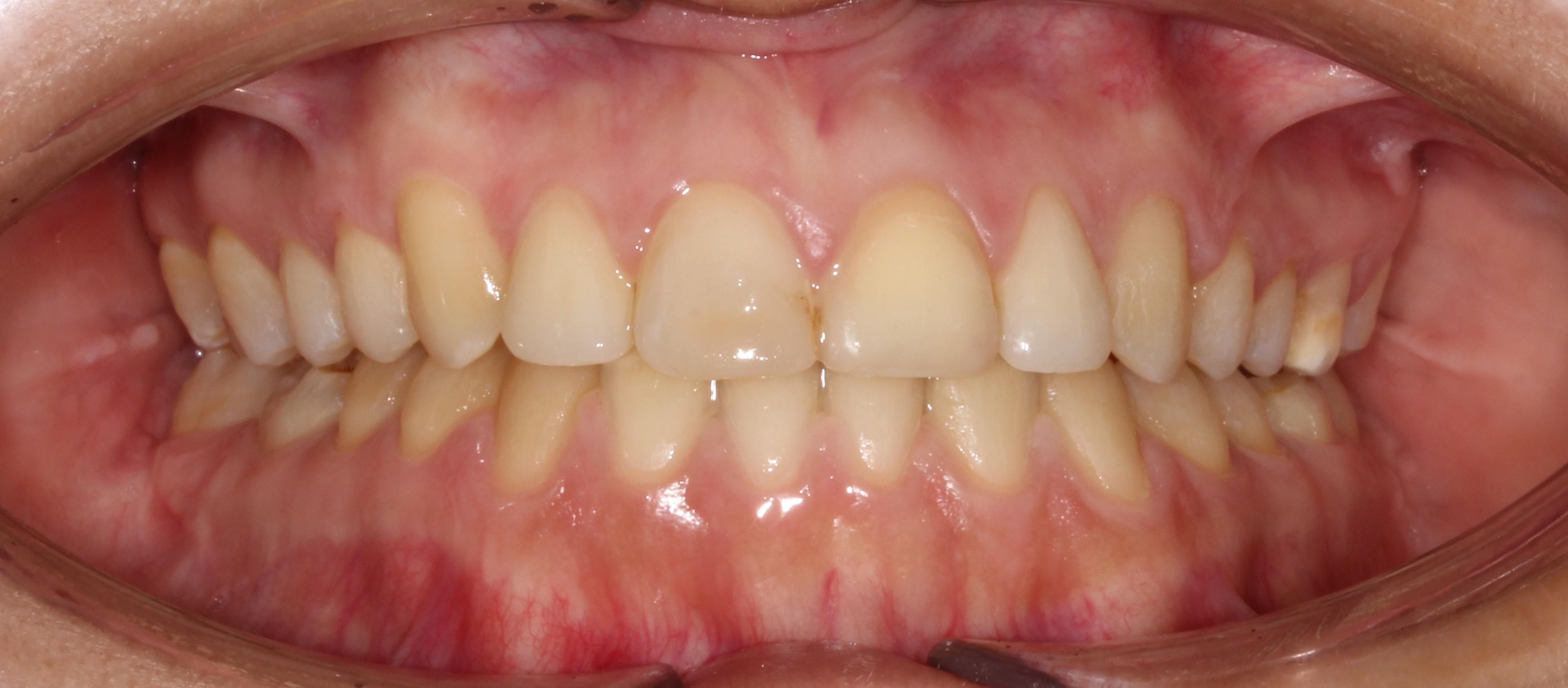
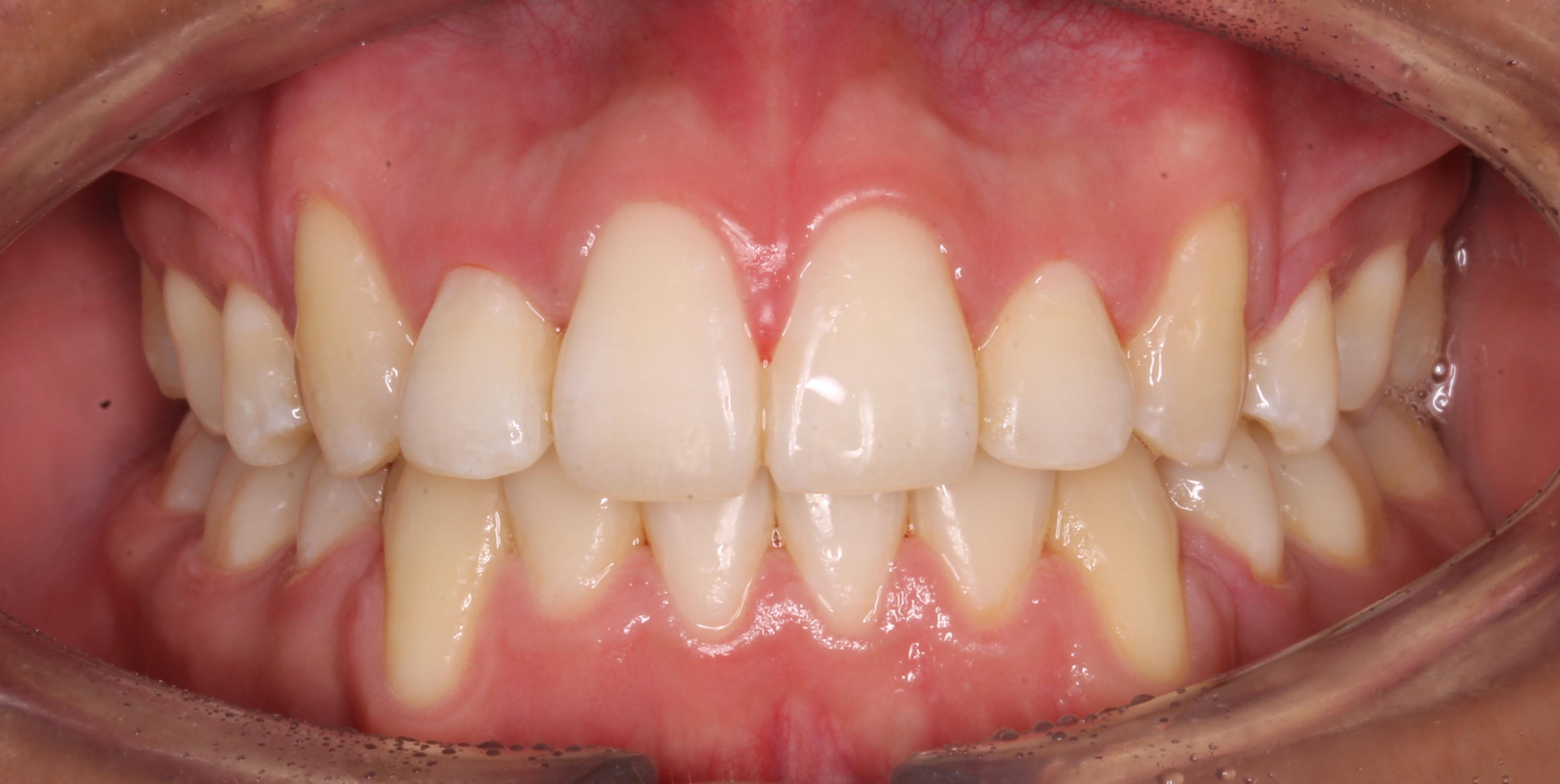
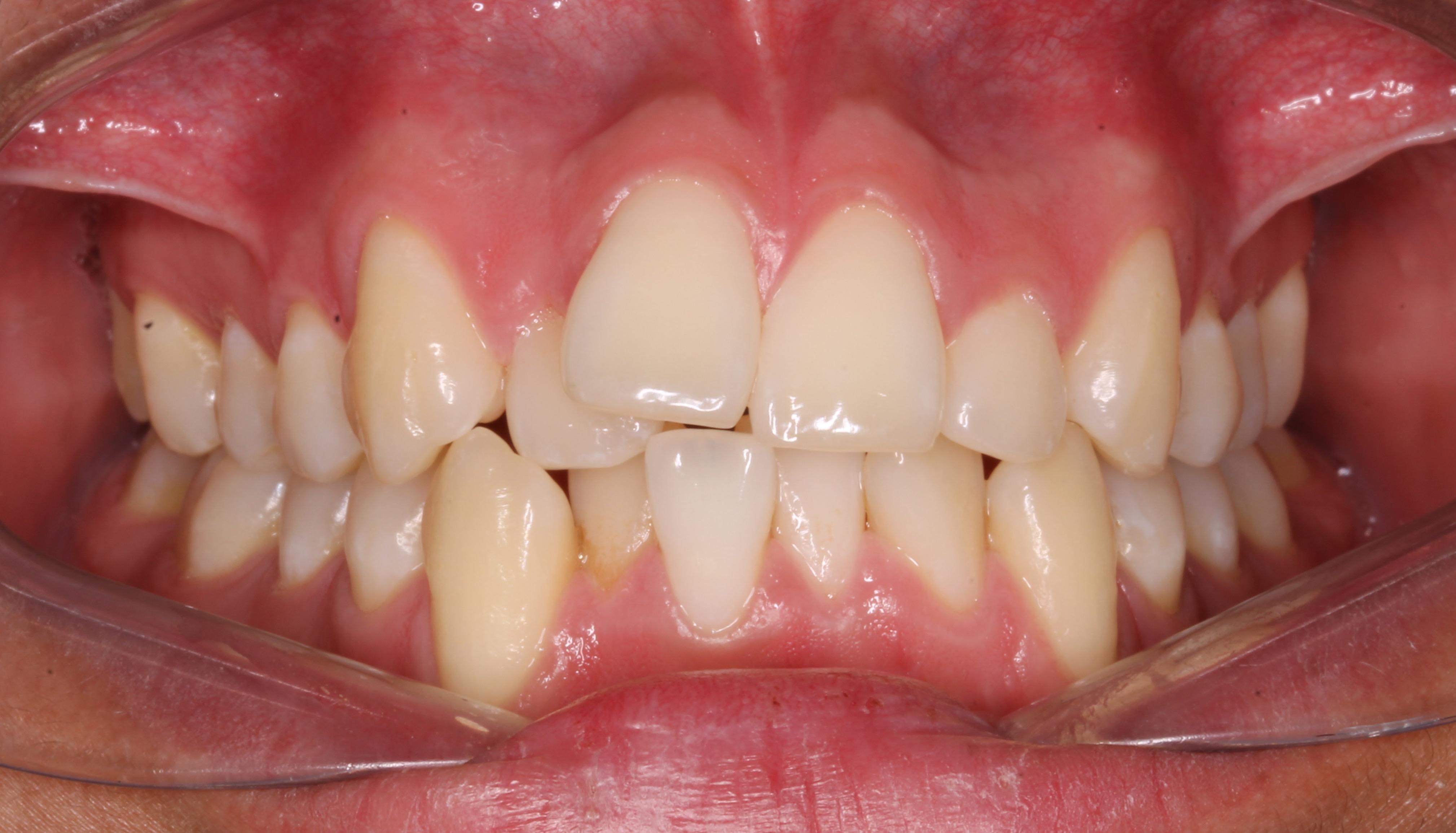
Resultados de Ortodoncia

Desliza el botón para ver el antes y después

Antes y durante el tratamiento

Durante el tratamiento
Antes del tratamiento

Resultado después del tratamiento

Resultado final del tratamiento

Antes y durante el tratamiento

Resultado después del tratamiento

ESPECIALISTA EN ORTODONCIA

Conoce a quien guiará tu tratamiento

Dra. Karen Devia

Ortodoncista

Especialista en ortodoncia dedicada a planificar tratamientos personalizados para corregir la posición de los dientes y mejorar la salud y estética de la sonrisa.

Acompaña a cada paciente durante todo el proceso, explicando cada etapa del tratamiento para que te sientas seguro y confiado desde la primera evaluación.

"Cada sonrisa es diferente. Por eso cada tratamiento se planifica de forma personalizada."

Sabemos lo que estás pensando.

Los primeros días puede haber algo de molestia mientras te adaptas.

Es normal y temporal. La mayoría lo maneja sin problema.
Depende de cada caso. Por eso hacemos una evaluación antes de decirte cualquier número.

Algunos tratamientos duran menos de lo que imaginas.
Si la estética te preocupa, la ortodoncia estética es una excelente alternativa.

Los brackets cerámicos son discretos y se adaptan al tono de tu diente.
Para nada. Cada vez más adultos inician ortodoncia.

No hay una edad límite para mejorar tu sonrisa.
El valor varía según el tipo de tratamiento y la complejidad de tu caso.

En tu evaluación te entregamos toda la información con opciones de pago.

CDV DENTAL · TEMUCO

¿Listo/a para dar el primer paso?

Agenda tu evaluación de ortodoncia y descubre qué necesita realmente tu sonrisa.

Evaluación gratuita
Solo 30 minutos
💬 Sin compromiso
Agenda tu evaluación gratuita

Atención cercana en CDV Temuco

Contáctanos vía WhatsApp