Paga tus tratamientos hasta 12 cuotas sin interés
Reembolso disponible con seguros de salud
Financiamiento para afiliados Caja Los Andes
Rehabilitación Oral
Rehabilitación oral estética

Tu sonrisa puede volver a ser lo primero que quieras mostrar.

Recuperamos la función, la estética y la confianza de tu sonrisa con tratamientos personalizados y planificación digital avanzada.

Agendar evaluación

¿Te identificas
con alguna de estas situaciones?

Si algo de esto resuena contigo,
estás en el lugar indicado.

01

Sonríes con la boca cerrada porque te incomoda cómo se ven tus dientes.

02

Tienes coronas o trabajos anteriores que ya no lucen naturales ni estéticos.

03

Perdiste una o más piezas y sientes que eso afecta tu imagen y seguridad.

04

Tus dientes están fracturados, desgastados o con forma irregular.

05

Quieres mejorar tu sonrisa pero no sabes por dónde empezar ni qué es posible lograr.

Lo que sientes hoy
tiene solución.

Y no tienes que imaginártela a ciegas.

Muchas personas pasan meses —o años— postergando esta decisión.

No porque no quieran cambiar, sino porque no saben qué es posible.

Antes de comenzar, diseñamos tu sonrisa digitalmente.

La ves. La apruebas. Y luego comenzamos.

Existe un camino personalizado
para recuperar tu sonrisa.

Comienza con una sola evaluación.

LO QUE DICEN NUESTROS PACIENTES

Más que tratamientos, acompañamos procesos de cambio que impactan la vida de quienes confían en nosotros.

“Llevaba años postergando este cambio por miedo. Desde la primera evaluación sentí confianza, porque me explicaron todo con claridad y sin presión. Hoy sonrío mucho más tranquila.” ⭐️⭐️⭐️⭐️⭐️

Valentina M. Carillas dentales · 8 piezas

“Ver mi nueva sonrisa diseñada en pantalla antes de empezar me dio mucha seguridad. Sentí que estaba tomando una decisión informada, no a ciegas.” ⭐️⭐️⭐️⭐️⭐️

Rodrigo F. Rehabilitación sobre implantes múltiples

“Tenía una corona antigua que se notaba demasiado y eso me incomodaba al hablar y sonreír. El resultado quedó tan natural que hoy se ve como un diente propio. Mi experiencia en CDV Dental en Temuco fue excelente.” ⭐️⭐️⭐️⭐️⭐️

Carolina S. Corona estética sobre implante unitario

Resultados reales. Sonrisas reales.

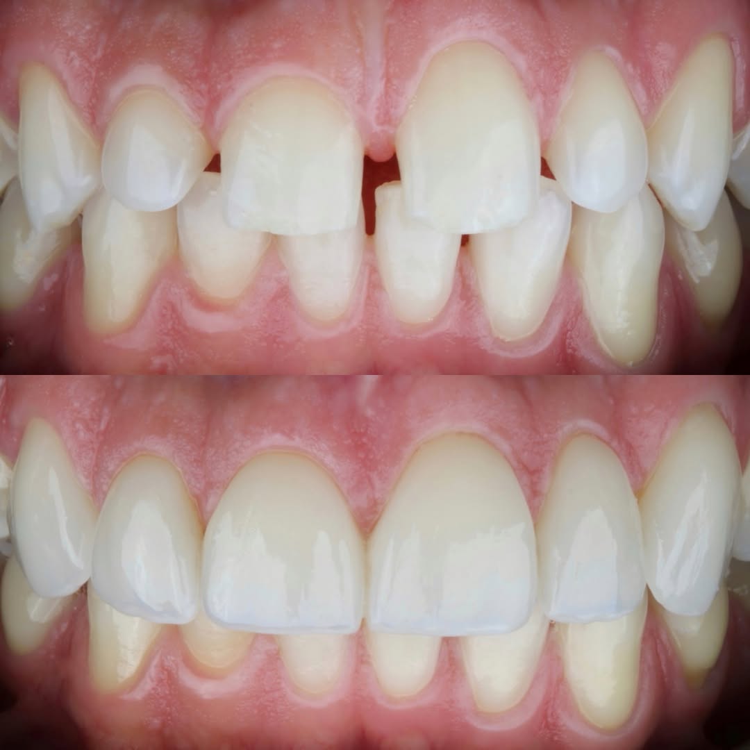
Carillas dentales antes y después 1

Cambio visible desde el primer momento.

Carillas dentales
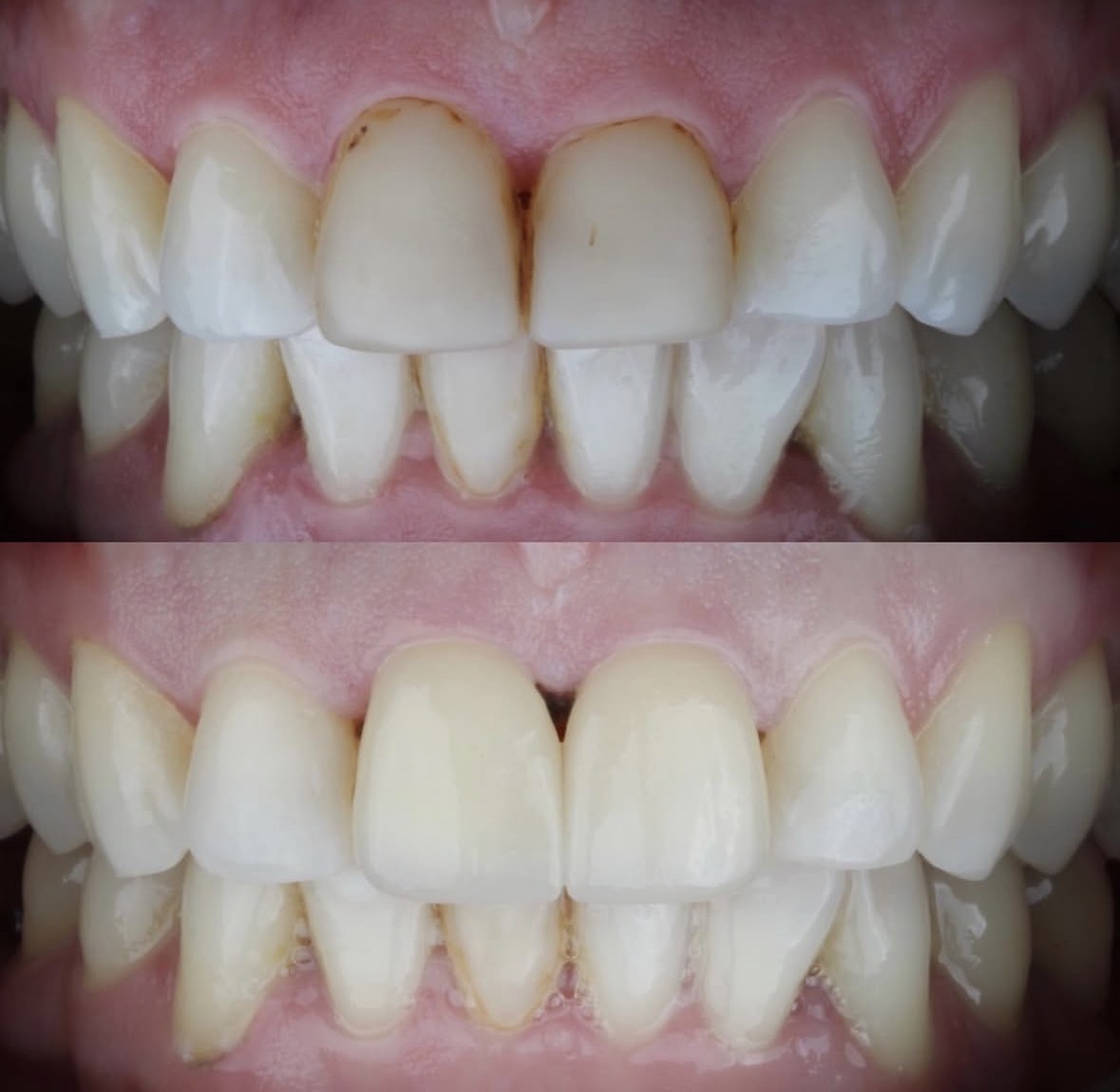
Carillas dentales antes y después 2

Resultado natural, armónico y estético.

Carillas dentales
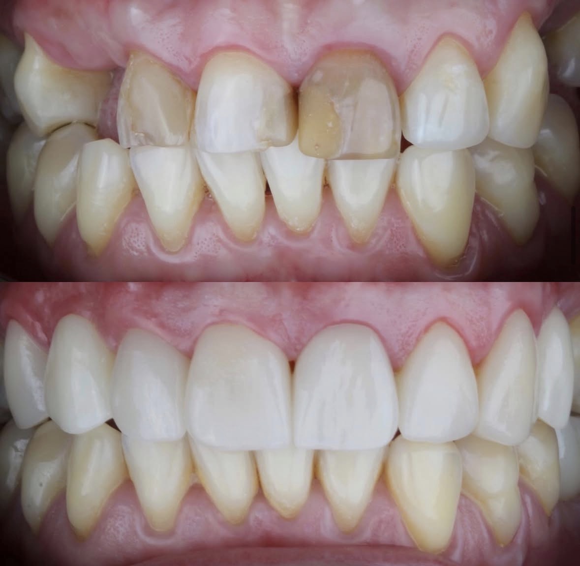
Implantes dentales antes y después

Rehabilitación oral completa mediante implantes y diseño digital de sonrisa.

Implantes dentales

¿Cuál es
tu caso?

Estos son los tratamientos que forman parte de nuestra rehabilitación oral estética. Pueden combinarse o indicarse individualmente según el diagnóstico de cada paciente.

```
01

Carillas Dentales

Diseño de sonrisa

Láminas ultrafinas de cerámica que se adhieren a la superficie de tus dientes y transforman por completo su forma, color y proporción. El resultado es una sonrisa renovada que se ve y se siente completamente natural.

Ideal para Manchas, dientes pequeños, irregulares o con espacios entre ellos.
02

Coronas Estéticas

Recuperación natural

Una funda de cerámica de alta resistencia que cubre el diente por completo, devolviéndole su forma, firmeza y apariencia original. Función y estética recuperadas en un solo tratamiento.

Ideal para Dientes muy deteriorados, fracturados o con tratamientos previos de gran tamaño.
03

Incrustaciones

Conservación estética

Una restauración fabricada a medida en cerámica de laboratorio que se integra perfectamente al diente, preservando al máximo su estructura natural. Más duradera que un relleno convencional y completamente invisible.

Ideal para Caries moderadas o grandes donde se quiere conservar el máximo de estructura dental sana.
04

Rehabilitación sobre Implante Unitario

Solución duradera

Reemplazamos el diente perdido desde la raíz con una base de titanio y una corona de cerámica diseñada a medida. El resultado es indistinguible de un diente natural, tanto en apariencia como en función.

Ideal para Pérdida de una pieza dentaria que requiere reemplazo permanente, estético y de alto rendimiento.
05

Rehabilitación sobre Implantes Múltiples

Solución integral

Para quienes han perdido varias piezas, diseñamos una solución completa apoyada en implantes ubicados estratégicamente. Todo se planifica digitalmente antes de comenzar, garantizando armonía estética, comodidad y un resultado predecible.

Ideal para Pacientes con ausencia de varias piezas que buscan una solución definitiva, estética y de alto nivel.
```

Facilidades de pago para tu tratamiento

Convenio activo Financiamiento para afiliados y pensionados de Caja Los Andes
Sin interés Hasta 12 cuotas sin interés
Seguros dentales Reembolsos en línea disponibles
Comodidad total Facilidades de pago online
Siempre disponible Agendamiento online 24/7
Sonrisa estética premium
```

Sabes exactamente cómo quedará tu sonrisa antes de comenzar

Nuestro proceso está diseñado para darte claridad, control y tranquilidad antes de tomar cualquier decisión.

01

Evaluación diagnóstica

Escaneo 3D intraoral completo y análisis fotográfico detallado de tu sonrisa, oclusión y estructura facial. Sin moldes, sin incomodidad.

02

Diseño digital de tu sonrisa

Creamos una proyección visual de tu resultado ideal en pantalla. Tú lo ves, lo ajustas y lo apruebas antes de que comience cualquier tratamiento.

03

Planificación por fases

Te entregamos una hoja de ruta clara: qué se hace, en qué orden, cuánto tiempo toma y qué esperar en cada visita. Sin sorpresas.

04

Ejecución clínica de precisión

Trabajamos con materiales cerámicos de última generación fabricados en laboratorio certificado, con técnica detallista y criterio estético.

05

Seguimiento y mantención

Acompañamiento post-tratamiento para asegurar longevidad y bienestar. Tu sonrisa se mantiene exactamente como la diseñamos.

```

Así diseñamos tu sonrisa antes de comenzar

Diseño digital de sonrisa en clínica dental
Conoce a tu especialista

La sonrisa que imaginas, en manos del especialista correcto.

Doctor Gerald Durán – Rehabilitación Oral Estética

Dr. Gerald Durán

Odontología Digital · Rehabilitación Oral

Detrás de cada rehabilitación oral hay mucho más que técnica: hay escucha, criterio estético y una intención clara de devolverte la confianza en tu sonrisa. El Doctor Gerald Durán combina tecnología digital de vanguardia con una mirada detallista para diseñar restauraciones que se ven naturales, se sienten cómodas y duran.

Desde carillas de cerámica hasta rehabilitaciones completas con restauraciones 3D, cada caso es tratado con atención personalizada, sin plantillas, sin genéricos.

"Cada sonrisa requiere criterio, detalle y una visión estética que sea tuya, no de nadie más."

Carillas de cerámica Restauraciones 3D Rehabilitación oral Odontología digital

Resuelve tus dudas antes de dar el primer paso

Sabemos que iniciar un proceso de rehabilitación genera muchas preguntas. Aquí respondemos las más importantes — sin vueltas.
Depende del caso. Un tratamiento de carillas puede completarse en 3-4 semanas. Una rehabilitación sobre implantes múltiples puede tomar entre 3 y 6 meses, incluyendo los tiempos de integración. En tu evaluación te entregamos un cronograma preciso.
La gran mayoría de los procedimientos se realizan con anestesia local y son muy bien tolerados. Después de algunas sesiones puede haber sensibilidad leve y transitoria. Trabajamos siempre
Sí. Usamos diseño digital de sonrisa para mostrarte una proyección de tu resultado antes de iniciar cualquier tratamiento.

Puedes verlo, ajustarlo y aprobarlo. Solo comenzamos cuando estás conforme.
Con los cuidados adecuados, las carillas y coronas de cerámica tienen una duración de 10 a 20 años o más. Te entregamos toda la información para mantenerlas en perfectas condiciones.
Absolutamente. Si tienes implantes que necesitan ser rehabilitados estéticamente o reemplazados por coronas más modernas, podemos evaluarlo y diseñar la solución ideal.
El valor varía según el número de piezas, el tipo de tratamiento y los materiales utilizados. En la evaluación diagnóstica te entregamos un presupuesto detallado y transparente. Contamos con alternativas de pago para que el costo no sea una barrera.

CDV DENTAL · TEMUCO

Tu nueva sonrisa comienza con una conversación

La evaluación es sin compromiso. Te mostramos cómo podría quedar tu sonrisa antes de tomar cualquier decisión.

Evaluación gratuita
Solo 30 minutos
💬
Sin compromiso
Agendar evaluación gratuita →
Contáctanos vía WhatsApp